

A new method using advanced imaging techniques enhances the accuracy of detecting breast cancer metastasis in lymph nodes. Traditional methods often miss small metastases, leading to delayed treatment. The innovative approach, combining high-resolution imaging and artificial intelligence, aims to address this issue, providing more precise results.
Breast cancer metastasis, the spread of cancer cells from the breast to other parts of the body, particularly the lymph nodes, is a critical factor in determining the prognosis and treatment plan for patients. Early and accurate detection of metastasis significantly impacts the effectiveness of subsequent treatments and overall patient outcomes. Traditional detection methods, such as sentinel lymph node biopsy and conventional imaging techniques, have limitations, often failing to identify microscopic metastases.
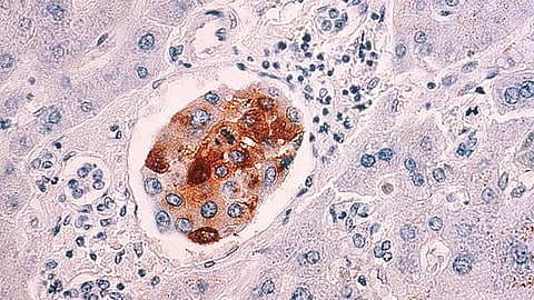
The new technique leverages high-resolution imaging technologies, such as multiphoton microscopy, which provides detailed images of tissue samples at a cellular level. This method enhances the visualization of cancer cells within the lymph nodes, allowing for the detection of even the smallest metastases that might be missed by conventional methods. The integration of artificial intelligence further improves the accuracy of the diagnosis. AI algorithms analyze the high-resolution images, identifying patterns and anomalies indicative of metastasis with greater precision than manual examination.
One of the significant advantages of this approach is its ability to reduce false negatives, where metastases are present but not detected. False negatives can lead to undertreatment, where patients do not receive the necessary therapies to address the spread of cancer. By improving the detection of small metastases, the new method ensures that patients receive appropriate and timely treatments, potentially improving survival rates and quality of life.
The development and validation of this technique involve extensive research and clinical trials. Initial studies show promising results, with significantly higher accuracy rates compared to traditional methods. Researchers are optimistic that this method will become a standard practice in diagnosing breast cancer metastasis, providing a more reliable and efficient tool for oncologists.
Moreover, the application of this technique is not limited to breast cancer. The principles of high-resolution imaging and AI analysis can be adapted to detect metastasis in other types of cancer, potentially revolutionizing cancer diagnosis and treatment across various forms.
References:
Dogan S. Polat, Son Nguyen, Paniz Karbasi, Keith Hulsey, Murat Can Cobanoglu, Liqiang Wang, Albert Montillo, and Basak E. Dogan Radiology: Imaging Cancer 2024 6:3 | Machine Learning Prediction of Lymph Node Metastasis in Breast Cancer: Performance of a Multi-institutional MRI-based 4D Convolutional Neural Network | https://doi.org/10.1148/rycan.230107
(Input from various sources)
(Rehash/Susmita Bhandary/MSM)