

How to fix a damaged heart? Researchers from IIT Guwahati have found a unique solution. They have developed a unique 'Protein Toolbox' that can convert skin cells into heart cells.
'Recombinant Protein Toolbox' consists of six special proteins that can be used to regenerate damaged heart cells. The six proteins can convert any somatic cells (cells other than sperm and egg cells) into heart cells.
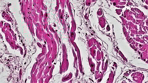
The heart cells produced using this toolbox are called Cardiomyocytes. Cardiomyocytes are the cells responsible for the contraction of the heart. The cells of an individual can be used to produce healthy heart cells.
The procedure can be used for so many heart conditions like heart attacks, blocked arteries, or any other heart disease. It can also be a substitute for heart transplantation. However, it's not that straightforward. Scientists believe that this toolbox can cause cells to change in ways that could be harmful.
However, this technique is still considered to be safer than other regeneration techniques. The proteins in this toolbox are engineered using the recombine DNA technology. This process of using proteins from a particular source to convert cells from one form to another is known as cellular reprogramming.
Researchers purposely chose skin cells called Fibroblasts for the study as they are most commonly used for reprogramming. Cardiac fibroblasts can form scar tissues even after a heart attack. This procedure is considered to be relatively safe because recombinant proteins perform their function and eventually disappear. They don't leave any toxic waste behind.
(Inout from various media sources)